9月6日,光明网对我院神经外科颈动脉体瘤患者的报道:
本稿原文链接:“悬挂在枝头的马蜂窝”——带你了解一下颈动脉体瘤

全文如下:
颈动脉体瘤是位于颈动脉分叉处血供丰富的副交感神经节瘤,占颈部副神经节瘤的60%-70%,发病率为(1-2)/10万,是一种罕见但危险的血管疾病,它通常发生在颈部的颈动脉分叉处,由异常增生的细胞形成,凶险如“悬挂在枝头的马蜂窝”,一旦破裂,患者极易出现休克、心脏骤停等严重后果。近日,上海德济医院/青岛大学脑科医学中心神经外科王杰主任就颈动脉体瘤的致病原因、临床表现、影像表现进行了介绍。
致病原因
颈动脉体瘤的发病机制尚不明确,可能与长期处于高海拔地区、琥珀酸脱氢酶基因家族成员突变、慢性缺氧等因素有关。
临床表现
颈动脉体瘤多表现为颈部无痛性肿块,增长缓慢且可能会侵犯颈动脉和颅神经。一小部分患者可能会发展为恶性病变。随着肿瘤的增大,可能会压迫邻近结构,导致呼吸困难、吞咽困难、声音嘶哑等表现。此外,颈动脉体瘤还可能伴有高血压、耳鸣、眩晕、视力障碍等症状。
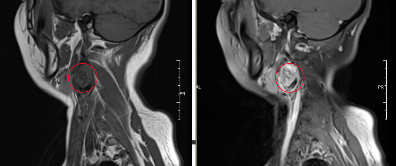
影像表现
影像学是诊断颈动脉体瘤的重要工具之一。常用的影像学检查包括超声、CT扫描和磁共振成像(MRI)。超声可以提供血流动力学信息,帮助确定瘤体的位置和大小。CT扫描和MRI则可以提供更详细的解剖结构信息,帮助医生评估瘤体的形态和与周围组织的关系。


参考文献:
王红, 王晨, 王执民. 颈动脉体瘤的诊断与治疗[J]. 现代肿瘤医学, 2018, 26(22): 175-178.
赵小俊, 王晓峰, 王志刚. 颈动脉体瘤的影像学表现[J]. 实用医学影像杂志, 2019, 20(1): 64-67.
吴恩惠, 刘小艳. 颈动脉体瘤的临床表现及治疗[J]. 中国实用医药, 2017, 12(36): 43-46.
Robertson V, Poli F, Hobson B, et al. A systematic review and Meta-analysis of thepresentation and surgical management of patients with carotid body tumours[J]. Eur J Vasc Endovasc Surg, 2019, 57(4): 477-486.
Hoang VT, Trinh CT, Lai TAK, et al. Carotid body tumor: a case report and literature review[J]. J Radiol Case Rep, 2019, 13(8): 19-30.